牙齒整齊除了外觀好看
清潔上也比較不會藏污納垢哦
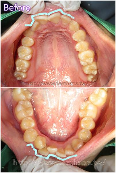
雖然都有照常刷牙 但因為牙齒凌亂所造成的死角
特別會生成牙結石 長久下來牙周容易發炎變成牙周病
然而傳統矯正需要在牙齒上黏矯正器及鐵絲
會有清潔不到的死角容易造成蛀牙和牙周病
隱形矯正解決了這個問題
可以自由拆戴 吃東西時取下
清潔乾淨戴回去 大大降低蛀牙的機率
每天都有按時配戴 療程時間不會比傳統矯正長哦
不到半年的時間~牙齒就變得好整齊
新禾牙醫診所
地址:台北市大安區仁愛路三段49號
(搭乘捷運請在板南線忠孝新生站下車於6號出口直走遇仁愛路三段(加油站)左轉,直走大約5分鐘即可到達)
(門口有劃位停車格,或者帝寶隔壁有仁愛地下停車場)
電話(02)2772-0750 (歡迎來電洽詢)





